您好!欢迎来到搜医院网! 设为首页 | 加入收藏 | 联系我们
搜医院网

韩国整容节目let美人郭芳媛 恐龙兜齿女郭方圆蜕变成芭比娃娃

时间:2017-03-06 15:36:52 来源: 评论() 条 点击:
韩国播出整容节目《Let美人》,相信大家都不陌生,该节目首次制作的《Let美人中国篇》中,有一名因下颌出奇地长而常常被嘲笑的中国少女——郭芳媛(郭方圆),日前通过韩国整容节目重拾美丽。从“兜齿恐龙少女”成功蜕变成了芭比娃娃,生活全变了,让人大赞整形技术的厉害。

韩国播出整容节目《Let美人》,相信大家都不陌生,该节目首次制作的《Let美人中国篇》中,有一名因下颌出奇地长而常常被嘲笑的中国少女——郭芳媛(郭方圆),日前通过韩国整容节目重拾美丽。从“兜齿恐龙少女”成功蜕变成了芭比娃娃,让人大赞整形技术的厉害。在这个全民变脸的奇葩国度里,这根本不算什么。

现在就来看看郭芳媛整形前后效果对比照片吧:

 let美人郭芳媛整形前后效果对比

摆脱被嘲笑的命运,开心快乐美丽回归

下面来看看郭方圆的变美故事吧!

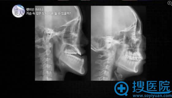
 let美人郭芳媛术前下颌X光片

她虽然只有18岁,但自从3岁时从椅子上跌落后,上颚几乎不再生长,下颚却越长越长,成了如今“地包天”的样子。除相貌外,因牙齿咬合不齐,她咀嚼食物也很吃力。

经过60天的手术,郭芳媛的外貌完全改变,被节目称为“有了让人既羡慕又惊讶的芭比娃娃一样的脸”。

 let美人郭芳媛术后芭比娃娃照片

郭芳媛父母对节目相关人士说:“我们都认不出女儿了,她的下巴好看多了。现在想来,把女儿送到韩国是个明智的决定。”

韩国整容节目let美人郭芳媛照片

韩国整容节目let美人郭芳媛艺术照,有没有韩国小姐的味道,只看术后,还能想起术前的样子吗?

郭芳媛做整容手术医院信息

let美人大下巴少女郭芳媛和徐一恩都是在【韩国id整形医院进行的脸型和五官手术,双鄂手术后完全改变了命运。韩国ID医院之所以享有盛名,完全不是盖的,完全是凭借自身的医院实力和精湛的技术和完美的手术效果而家喻户晓。

韩国ID整形为let美人郭芳媛手术照片

Id医院是脸骨整容专科医院,其它整容如五官、面部提升、胸部整形又如何呢?有什么整容特色?

ID医院以教授出身的专业医师和尖端的医疗系统,通过持续的研究开发,强化全球竞争力, 为发展成为亚洲脸骨整形手术领域中,,的医院而努力。同时ID医院特色鼻整形:芭比线条鼻整形、Tip-top鼻整形;特色眼部整形:微创切割双眼皮、seven-lock埋线双眼皮、非切开眼型矫正等;面部提升童颜术:v3立体皮肤肌肉脂肪提升术;胸部整形中心:比基尼丰胸等手术项目也一直是广大爱美者咨询较多的整容项目,如今ID医院已经不是在脸骨方面比较擅长的大型手术医院,也是五官、童颜、脂肪类、胸部整形等综合医院。

推荐阅读:let美人许艺恩是哪一期 许艺恩变身全过程

编辑:向秀玲

在线咨询